Bei einer fortgeschrittenen Schädigung von Hüft- oder
Kniegelenk durch Arthrose, rheumatoider Arthritis, Hüftdysplasie
(angeborene Hüftgelenksverrenkung), Durchblutungsstörungen
(Hüftkopfnekrosen) oder posttraumatische Veränderungen, besteht heute
die Möglichkeit ein künstliches Gelenk zu implantieren. Meist ist eine
jahrelange Schmerzbefreiung bei guter Mobilität erreichbar.

Die häufigste Ursache für die Implantation einer Hüftprothese (ca. 60% aller Fälle) stellt die Arthrose dar. Hierbei kommt es durch das Aufbrauchen der knorpeligen Auskleidung des Gelenkes im Spätstadium der Erkrankung zum unmittelbaren Knochenkontakt zwischen Hüftpfanne und Hüftkopf. Dies verursacht eine schmerzhafte Bewegungseinschränkung durch die entstehende Entzündungsreaktion, eine Schrumpfung des umgebenden Weichteilgewebes und die Bildung von knöchernen Randanbauten an den Gelenkpartnern (Osteophyten).
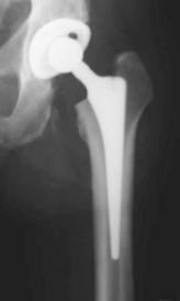
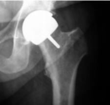
Bei den totalen Hüftendoprothesen (Hüft-TEP) werden in der Regel eine künstliche Hüftpfanne und eine Schaftprothese mit Aufsteckkopf implantiert. Hierfür stehen unterschiedliche Prothesenmodelle und Verankerungsmöglichkeiten (zementiert, zementfrei) zur Verfügung. Eine neuere operative Versorgungsmöglichkeit stellt der Hüftoberflächenersatz dar. Es handelt sich hierbei um ein besonders knochensparendes Prothesensystem, dessen klinischer Einsatz jedoch noch jung ist, sodaß potentielle Vorteile noch nicht abschließend beurteilt werden können.
Unter Berücksichtigung von Diagnose und Qualität
der Knochensubstanz bestimmt der Operateur in Absprache mit dem
Patienten das für seinen individuellen Fall am besten geeignete
Prothesensystem.
Bei der zementierten Hüftprothese wird eine anatomisch angepasste Schaftprothese aus einer hochwertigen Edelstahllegierung (CoNi) über Knochenzement in der Markhöhle des Oberschenkelknochens verankert. Der Gelenkpartner zur künstlichen Hüftpfanne besteht in der Regel aus einem Keramikaufsteckkopf.
Als Pfannenersatz wird bei diesem Verfahren eine aus Polyethylen
bestehende Pfannenschale durch den Knochenzement im zuvor aufbereiteten
Pfannenlager befestigt. Vorteil der zementierten Hüftprothesen ist die
jahrelang zurückreichende Erfahrung mit diesen Systhemen, die sich zum
Teil über Jahrzehnte bewährt haben.
So zeigen nationale Hüftregister in
den skandinavischen Ländern eine "Überlebenswahrscheinlichkeit" von
zementierten Hüftprothesen nach 15 Jahren von
ca. 90 %.
Bei der zementfreien Hüftprothese besteht die Schaftprothese aus einer speziellen Titanschmiedelegieung, welche das Anwachsen von Knochen fördert. Den Gelenkpartner zur künstlichen Hüftpfanne bildet ein Aufsteckkopf aus Keramik.
Als
Pfannenersatz wird in das zuvor aufbereitete Pfannenlager eine
subhemisphärische Titanschale eingepresst oder geschraubt, in welche
dann spezielle Polyethylen- oder Keramik-Inlays eingebracht werden.


Bei der Implantation eines Hüftoberflächenersatzes werden die arthrotisch veränderten Gelenkflächen des Oberschenkelkopfes und der Hüftpfanne durch dünne Metallprothesen ersetzt. Der gesunde Knochen des Schenkelhalses bleibt dabei größtenteils erhalten. Die spezielle dafür notwendige Operationstechnik erlaubt im Gegensatz zu den "klassischen" Hüftprothesen keine Minimal invasiven Zugänge. Die Volllastaufnahme ist jedoch sofort möglich und eine schnelle Rehabilitation die Regel.
Allerdings beschränkt sich der Einsatz dieses Prothesensystems auf Patienten mit stabilen Knochenverhältnissen. Des Weiteren sollten keine ungünstigen biomechanischen Formverhältnisse vorliegen, so können Beinlängenunterschiede nicht ausgeglichen werden.


Nach der Implantation einer Hüftprothese darf diese in der Regel sofort belastet werden. Auch bei zementfreien Prothesen muss in der Regel keine Phase der Teilbelastung eingehalten werden. Allerdings sollten Unterarmgehstöcke während der ersten 6 postoperativen Wochen verwendet werden um das Gangbild zu perfektionieren.
Der stationäre Aufenthalt dauert circa zwei Wochen, anschließend ist
in den meisten Fällen eine Anschlussheilbehandlung anzuraten. Während
dieser Zeit (1-3 Wochen) wird ein intensives physiotherapeutisches und
multimodales Behandlungskonzept durchlaufen. Jüngere und gesunde
Patienten können zum Teil die Rehabilitation ambulant durchführen oder
den weiteren Muskel- und Bewegungsaufbau durch ambulante
Krankengymnastik absolvieren.
Im Vincentiuskrankenhaus werden seit dem Jahr 2002 mit Hilfe von einem speziell entwickelten Instrumentarium minimalinvasive Implantationen von Hüftprothesen durchgeführt. Hierdurch gelingt es die Länge der sichtbaren Operationsnarbe deutlich unter 10cm zu halten, wenn keine Fettleibigkeit beim Patienten vorliegt. Durch die minimalinvasive Technik wird das Gewebe geschont und der Blutverlust verringert. Es besteht die Tendenz zur schnelleren Rehabilitation.
Bei einem künstlichen Kniegelenk werden die natürlichen Oberflächen
des Kniegelenkes teilweise oder vollständig ersetzt. Die Prothese
besteht aus einer Oberschenkelkappe und einer Schienbeinplatte aus
hochpoliertem Metall, und einem aus Polyethylen gefertigten
Gleitflächenersatz. In unserer Klinik werden sowohl Oberschenkelkappe
als auch die Schienbeinplatte mit Knochenzement verankert, da Studien
die Überlegenheit dieser Verankerungsmethode gegenüber der zementfreien
Verankerungen am Knie zeigten.
Wenn die Notwendigkeit für die Implantation eines künstlichen
Kniegelenkes vorliegt, stehen unterschiedliche Modelle für eine
defektadäquate Versorgung zur Verfügung.
Dies bedeutet, daß in Abhängigkeit vom Ausmaß der
Kniegelenksarthrose, und dem Zustand der das Kniegelenk stabilisierenden
Bänder und Muskeln, unterschiedliche Modelle implantiert werden.

Bei der isolierten Arthrose des inneren
Gelenkkompartimentes kann eine Halbseitenprothese (Schlittenprothese)
indiziert sein. In Ausnahmefällen ist dies auch für die isolierte
Arthrose des äußeren Gelenkkompartimentes möglich.
Die Schlittenprothese wird in einer minimalinvasiven OP-Technik
implantiert, in deren Folge die Patienten schneller eine gute
Beweglichkeit und Schmerzfreiheit erlangen. Dadurch wird der
Klinikaufenthalt nach der Operation auf 1-2 Wochen verkürzt. Auch die
nachfolgende stationäre Anschlussheilbehandlung kann in der Regel
verkürzt beziehungsweise durch eine ambulante Rehabilitation ersetzt
werden.

Bei fortgeschrittenem Gelenkverschleiß sollte eine totale
Knieendoprothese implantiert werden. Wenn die natürliche Bandführung
eine ausreichende Stabilität des Gelenkes gewährleistet, was bei den
meisten Patienten der Fall ist, so wird ein ungekoppelter
Oberflächenersatz verwendet.
Besteht jedoch auch eine fortgeschrittene Schädigung des
Kapsel-Band-Apparates,
so ist die Implantation einer sich selbst
stabilisierenden achsgeführten Endoprothese indiziert. Bei einer
nachgewiesenen Nickelallergie verwenden wir ein nickelfreies Modell aus
oxidiertem Zirconium.


Der stationäre Aufenthalt nach der Implantation einer Knieprothese dauert circa zwei Wochen, im Anschluss wird eine Anschlussheilbehandlung (2-3 Wochen) durchgeführt. Während dieser Zeit wird ein intensives physiotherapeutisches und multimodales Behandlungskonzept durchlaufen.
Der Knochenzement ist ein Spezialkunststoff (Polymethylmetacrylat), durch welchen erstmals vor circa 40 Jahren eine solide Verankerung der Prothese im Knochen möglich wurde. Er wird während der Operation aus einem Pulver und einer Flüssigkeit angemischt und härtet innerhalb von 10 Minuten vollständig aus. Moderne Anmischverfahren unter Vakuum und Applikationsverfahren mit Druckbeaufschlagung gewährleiten die feste Verankerung der Prothese.
Um das Risiko einer Infektion der Prothese zu senken, werden standardmäßig Antibiotika in den Knochenzement gemischt. Nach heutigem Kenntnisstand zählen die zementierten Endoprothesen zu den Langlebigsten.
Bei der Arthroskopie wird mit Hilfe eines feinen optischen Systems das Innere eines Gelenkes inspiziert. Anschließend kann über einen weiteren Zugang zum Gelenk der gefundene Schaden mit speziellen Instrumenten operativ behandelt werden ohne das Gelenk großräumig zu eröffnen.
Eine Vielzahl von Kniebinnenverletzungen, wie Meniskus- oder
Bandschäden, können arthroskopisch operiert werden. Bei der Ruptur des
vorderen Kreuzbandes besteht bei nicht erfolgreicher konservativer
Therapie die Möglichkeit dieses arthroskopisch durch einen am
Oberschenkel entnommenen Sehnenstreifen zu ersetzen.
In der Vincentius Klinik wird die "Quatriple-Semitendinosus-Technik"
angewendet.
Verschlissener Knorpel kann z.Z. nicht geheilt werden. Es gibt
jedoch Techniken, die eine gewisse Knorpelreparatur ermöglichen. Im
Vincentiuskrankenhaus wird bei umschriebenen Knorpelschäden
knorpelregenerierende arthroskopische Maßnahmen (Microfracturing)
durchgeführt. Durch Eröffnen der Gelenkknochenplatte gibt man dem Gelenk
die Möglichkeit der Selbstreparatur durch einen Ersatzknorpel. Studien
haben gezeigt, dass diese Methode bei geeigneter Voraussetzung mit
aufwendigeren Methoden (Knorpelzelltransplantation,
Knochen-Knorpeltransplantate) im Ergebnis vergleichbar ist.
Die Schulterarthroskopie ermöglicht die operative Therapie unterschiedlichster Schultererkrankungen. Prinzipell können Labrumdefekte (Instabilität), Risse in der Rotatorenmanschette und Knorpelschäden arthroskopisch angegangen werden. Bei einem subakromialen Impingementsyndrom kann eine arthroskopische Operation mit gleichem Erfolg wie die offene Operation durchgeführt werden. Durch viele Studien belegt schneiden vielen Schultererkrankungen jedoch die arthroskopischen Operationen gegenüber den offenen Verfahren in der Sicherheit des Operationsergebnisses nicht so überzeugend ab, sodaß noch viele Operationen an der Schulter offen durchgeführt werden.
Vor- und Rückfuß stellen ein weites Feld orthopädischer Interventionsmöglichkeiten dar, da zivilisatorische, Gewicht bedingte Einflüsse bei fehlendem Muskelgleichgewicht schmerzhafte Fehlstellungen begünstigen.
Die häufigste Erkrankung des Fusses kann durch verschiedene Operationsverfahren behoben werden. Die Wahl des Op-Verfahrens richtet sich nach der Schwere der Fehlstellung, der Gelenksituation und der Beanspruchung des Fusses. Meist wird eine Umstellungsoperation (Chevron-, Scarf- oder proximale Umstellungsosteotomie) ausgeführt. Zum Teil werden Weichteileingriffe (Sehnenverlagerungen) oder Resektionsverfahren (Keller-Brandes) gewählt.
Resektionsverfahren (Op nach Hohmann) werden der Versteifung des Gelenkes in der Regel vorgezogen.
Wenn konservative Therapiemöglichkeiten versagen, gibt es die Möglichkeit den schmerzhaften Vorfuß operativ zu korrigieren. Neben der Verschiebeosteotomie (Weil) kommen Operationsverfahren wie Kramerosteotomie oder Großzehkorrekturen zum Einsatz. Ziel ist es zum einen die schmerzhaften Druckstellen unter dem Fuß zu beseitigen, zum anderen die Vorfußstatik zu verbessern.
Folgende Operationen am Kniegelenk werden an unsrem Haus durchgeführt:
Folgende Operationen am Schultergelenk werden in unsrem Haus durchgeführt:
Folgende Operationen an der Wirbelsäule werden in unserem Haus durchgeführt:
Folgende Operationen an der Hand werden in unserem Haus durchgeführt:
Sowohl in der Akutphase nach einer größeren Operation, als auch in der anschließenden Rehabilitation, trägt die intensive physiotherapeutische Behandlung wesentlich zur raschen Verbesserung der körperlichen Leistungsfähigkeit bei.
Ausführliche Informationen zur Physiotherapie finden Sie hier: