Die I. Medizinische Klinik am GLKN Klinikum Singen verfügt über ein breites Spektrum von invasiven und nichtinvasiven Methoden für die Diagnostik und Therapie von Herzerkrankungen. Einen Schwerpunkt bilden Herzkatheteruntersuchungen, inklusive interventioneller Diagnostik mittels IVUS (intravaskulärer Ultraschall) oder FFR-Messung (Messung der fraktionierten Flussreserve), zur Evaluation einer individuellen Therapiestrategie für jeden Patienten mittels Ballondehnung von Herzkranzgefäßen, einschließlich der Implantation von Stents („Gefäßstützen“).
Sowohl Erstdiagnosen von Erkrankungen des Herzkreislaufsystems oder die Betreuung von Patienten mit chronischen Herzerkrankungen mit akuter Verschlechterung gehören zu unserem klinischen Alltag.
Ein
großer Teil der Kardiologie besteht in den Akutbehandlungn von
Myokardinfarkten. Hierfür verfügt die Abteilung über eine Zertifizierung als
Chest-Pain-Unit inklusive 24h Katheterbereitschaft, welche in Zusammenarbeit
mit der interdisziplinären Notaufnahme und der Intensivstation für eine optimale
Betreuung von Patienten mit Herzinfarkten sorgt.
Typischerweise
werden durch nicht-invasive Untersuchungen (Echokardiographie und
Duplex-Sonographie, 3D-Sonographie) Herz- und Gefäßerkrankungen diagnostiziert und
in unserer Klinik behandelt.
Die Erkennung und Therapie lebensbedrohlicher Herzrhythmusstörungen, einschließlich der Implantation von Herzschrittmachern sowie deren Abfrage und Programmierung zählen ebenso zum Leistungsspektrum, wie auch invasive elektrophysiologische Untersuchungen und Ablationen.
Um langwierige und unnötige stationäre Aufenthalte zu vermeiden, sehen wir in unserer prästationären Sprechstunde Patienten mit ambulant fachärztlich gestellten Verdachtsdiagnosen wie Koronarer Herzerkrankung, Vorhofflimmern, Kardiomyopathie oder PFO (persistierendes Foramen Ovale) zur Planung von weiteren Untersuchungen und Therapien die dann nur teilweise stationär erfolgen müssen.
Darüber hinaus werden auch alle übrigen internistischen Erkrankungen auf unseren Stationen behandelt, wobei Patienten mit gastroenterologischen oder onkologischen Erkrankungen vorwiegend in der II. Medizinischen Klinik betreut werden.
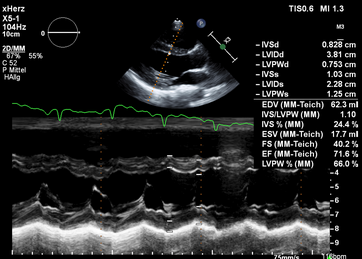
Die Ultraschalldiagnostik, in der Kardiologie Echokardiographie stellt neben dem EKG eine wichtige nicht-invasive Untersuchungsmethode bei der Abklärung von Herzerkrankungen dar. Die Echtzeitbilder des Herzultraschalls zeigen Veränderungen und Defekte des Herzmuskels, der Herzkammern, des Klappenapparates und der zu- und abfließenden Gefäße.
Durch die Echokardiographie lassen sich geschädigte Muskelabschnitte des Herzens nach einem Herzinfarkt, bei Menschen mit koronarer Herzkrankheit (KHK) oder eine Herzmuskelentzündung genauer bestimmen.
Die unterschiedliche Ausbreitung der Ultraschallwellen im Körper ist wichtig für die Anwendung der Ultraschalluntersuchung (Sonografie). Das Ultraschallgerät sendet Schallwellen aus, die wiederum von den verschiedenen Herzgeweben und den mit Blut gefüllten Kammern reflektiert werden.
Bei Ultraschalluntersuchungen handelt es sich um ein nicht-invasives und vor allem schonendes Verfahren (ohne ionisierende Strahlung, welche beispielsweise beim Röntgen verwendet wird) handelt. So kann es sogar bei Ungeborenen im Mutterleib angewendet werden.
Es gibt zwei Möglichkeiten eines Herzultraschalls: die meistens eingesetzte transthorakale Echokardiographie und die seltenere transösophageale Echokardiographie, welche nur für bestimmte Fragestellungen benötigt wird.
Zu den Standartverfahren zur Diagnostik von Herzerkrankungen gehört die transthorakale Echokardiographie (TTE). Dabei legt der Untersuchende den Ultraschallkopf auf definierte Areale der Brustwand und kann so Unregelmäßigkeiten sehen. Sie ist vergleichbar mit einem herkömmlichen Ultraschall. Zusätzliche Informationen ergeben sich durch die Hinzunahme von Doppler- und Farbdopplerdarstellungen. Durch das Messen der Strömungsgeschwindigkeit und das Nachweisen der Strömungsbeschleunigungen wird die Funktion/Dichtigkeit der Herzklappen kontrolliert.


Bei der Stressechokardiographie, oft auch als Stress-Echo
bezeichnet, wird das Herz während des Ultraschalls durch gefäßerweiternde
Medikamente oder körperliche Anstrengung belastet. Häufiger findet die
Fahrrad-Stressechokardiographie Anwendung: Der Patient liegt auf einer
besonderen, kippbaren Echo-Liege und muss in die Pedale treten. Dabei wird die
körperliche Anstrengung durch sich erhöhende Belastungsstufen gesteigert.
reten während der Untersuchung zunehmende Bewegungsstörungen der Herzwände auf, ist dies ein sehr guter Anhalt für eine relevante Durchblutungsstörungen am Herzen.
Die Methode der transösophagealen Echokardiographie (TEE) wird umgangssprachlich auch Schluckecho genannt, da ein flexibler Schlauch – ähnlich wie bei einer Magenspiegelung – über den Mund in die Speiseröhre eingeführt wird. Um einen eventuell aufkommenden Würgereiz zu vermeiden, wird ein lokales Betäubungsmittel in den Rachen gesprüht. In vielen Fällen werden auch sedierende Medikamente verabreicht.
An der Spitze des Schlauchs befindet sich eine Ultraschallsonde. Die
Sonde wird bis in die Speiseröhre vorgeschoben. Die Nähe der Speiseröhre zum
Herzen ermöglicht deutlichere Aufnahmen (zum Beispiel des linken Vorhofs oder
etwaiger Blutgerinnselbildungen bei Herzrhythmusstörungen). Auch
angeborene Herzfehler können
durch die transösophageale Echokardiographie genauer Quantifiziert werden.



Wenn Patienten an einer Herzschwäche leiden oder die Herzklappen genauer betrachtet werden sollen, dann empfiehlt sich eine spezielle Sonde, die dreidimensionale, also räumliche Darstellungen ermöglicht. Sie vereinfacht die Beurteilung der Herzfunktion in Echtzeit. 3D-Messungen sind durch ihre Matrix-Schallkopftechnologie um einiges genauer als 2D-Aufnahmen.
Bei der Herzkatheteruntersuchung unterscheidet man zwischen der Rechtsherzkatheteruntersuchung (venöser Zugang) und der Linksherzkatheteruntersuchung (arterieller Zugang).
Mit Hilfe der Rechtsherzkatheteruntersuchung wird neben der Bestimmung des Sauerstoffgehaltes in verschiedenen Etagen der Herzhöhlen und im Lungenkreislauf (Etagenoxymetrie) der Druck in der Lungenstrombahn und in verschiedenen Herzhöhlen gemessen.
Bei der Linksherzkatheteruntersuchung werden neben der Darstellung der linken Herzkammer (Ventrikulographie) die Herzkranzgefäße mittels Röntgenkontrastmittels (Koronarangiographie) sichtbar gemacht. Die Linksherzkatheteruntersuchung wird in der Regel durch Punktion des rechten/linken Leistengefäßes durchgeführt, kann aber auch durch Punktion des Gefäßes am Handgelenk bzw. an der Ellenbeuge vorgenommen werden. Mit der Linksherzkatheteruntersuchung können Einengungen bzw. Verschlüsse des Herzkranzgefäßes, die Pumpfunktion der linken Herzkammer und der Schweregrad der Herzklappenfehler (Undichtigkeit/Einengung) beurteilt werden.
Die Koronarangiographie (Darstellung des Herzkranzgefäßes mittels Röntgenkontrastmittels) führt zum Nachweis von Einengungen, Verkalkungen und Verschlüssen der Herzkranzgefäße. Sie ist eine wichtige Voraussetzung, um zu entscheiden, ob eine medikamentöse Therapie, eine Ballonaufdehnung (PTCA) oder eine Bypassoperation sinnvoll ist. Im Falle einer Einengung des Herzkranzgefäßes kann diese in der gleichen Sitzung mit Ballonaufdehnung (PTCA/PCI) und Stent (Gefäßstütze) behandelt werden.
Die früher verwendeten konventionellen Metallstents bilden heutzutage eine große Ausnahme und werden nur in speziellen Fällen implantiert. Die überwiegende Mehrheit aller Stents sind medikamentenbeschichtete Stents, die eine überschießende Proliferation von Zellen, welche zu einer Wiederverengung des Gefäßes führen würden, hemmt.


Wird im Rahmen der Herzkatheteruntersuchung eine Verengung eines
oder mehrere Gefäße festgestellt, jedoch ohne dass der
Schweregrad der Koronarstenose angiographisch eindeutig abzuschätzen ist und somit
den Blutfluss eindeutig beeinträchtigen würde, wird die Messung der
Fraktionierten Fluss Reserve durchgeführt.
Es handelt sich um eine Methode zur Messung der
hämodynamischen Wirksamkeit der gesehenen Koronarstenose. Dieses Verfahren
beruht auf einer intrakoronaren Messung der Drücke vor und nach der Stenose.
Der hierfür verwendete Führungsdraht ist an der Spitze mit einem elektronischen
Drucksensor versehen. Nachdem der Führungsdraht (Druckdraht) unter
Röntgenkontrolle die Stenose passiert hat, werden der Druck distal (hinter) der
Stenose sowie der Druck in der Aorta (vor der Stenose) durch den
Führungskatheter bestimmt.


Die Bestimmung der fraktionierten Flussreserve (FFR) basiert auf dem Quotienten aus dem mittleren gemessenen Druck distal der Stenose (Pd) und dem mittleren aortalen Druck vor der Stenose (Pa). Anschließend wird eine Hyperämie induziert, was der Simulation einer sportlichen Belastung entspricht, indem das Medikament Adenosin induziert wird. In diesem Zustand besteht ein linearer Zusammenhang zwischen Druck und Fluss.
Unter physiologischen Bedingungen ergibt die Messung eine FFR von „1“. Mit zunehmendem Stenosegrad wächst der Druckgradient über der Verengung, was eine Verminderung des FFR-Wertes zur Folge hat. FFR-Werte < 0,80 sind als hämodynamisch relevant anzusehen.
Besondere Vorteile bietet die FFR-Messung bei der Beurteilung der hämodynamischen Relevanz von Stenosen bei koronaren Mehrerkrankungen.
In der FAME-Studie konnte durch Einsatz der FFR-Messung eine Verringerung von Mortalität und Myokardinfarkt nach zwei Jahren nachgewiesen werden.
Der intravaskuläre Ultraschall (das heißt „innerhalb
des Blutgefäßes“) wird mithilfe eines
speziellen Ultraschallkatheters durchgeführt.
Der
Gefäßultraschall liefert dem Arzt wichtige Zusatzinformationen zur Behandlung von
Erkrankung wie beispielsweise einer Dissektion (Einrisses) der Gefäßinnenwand.
Unter den heute verfügbaren Untersuchungsmethoden ist der Gefäßultraschall die
Methode mit der höchsten Genauigkeit.
Die Gefäßultraschalluntersuchung wird im Rahmen einer Linksherzkatheteruntersuchung durchgeführt. Ein dünner Draht wird in die Herzkranzarterie eingelegt. Dieser Draht dient, ähnlich wie bei der Ballonaufdehnung als Leitschiene für den Ultraschallkatheter. Ein dünner Kunststoffkatheter mit einem Durchmesser von ca. 1mm, an dessen Ende sich eine sehr kleine Ultraschallsonde befindet. Diese wird in die Herzkranzarterie eingeführt.


Die Ultraschallsonde liefert Bilder aus dem Inneren der Herzkranzarterie und zeigt alle Wandschichten der Arterie in einem Querschnittsbild. Die Auflösung der Ultraschallsonde ist sehr hoch, kann damit neben kleinsten Ablagerungen auch den genauen Ort eines Einrisses in der Gefäßwand zeigen und erlaubt damit eine passgenaue Therapie mittels Stentimplantation.