
Herzrhythmusstörungen (Arrhythmien) bezeichnen die abnorme Folge des Herzschlages. Diese Herzrhythmusstörungen können zu einer Beeinträchtigung der Lebensqualität durch unangenehmes Herzrasen oder zu einer Einschränkung der Leistungsfähigkeit führen. Spezielle Formen erhöhen das Risiko, einen Schlaganfall zu erleiden oder können sogar akut lebensbedrohlich sein.
Der medizinische Fortschritt der letzten Jahre erlaubt heute in vielen Fällen eine erfolgreiche Behandlung. Seit dem Jahr 2015 steht dazu am Standort in Singen ein elektrophysiologisches Labor zur Verfügung, in dem mit modernen Methoden sehr viele Formen von Herzrhythmusstörungen behandelt werden können. Wir sind spezialisiert auf die Diagnostik und Behandlung von komplexen Herzrhythmusstörungen. Wir bieten Ihnen eine umfangreiche Abklärung, Beratung und Behandlung Ihrer Beschwerden gemäß aktueller Erkenntnisse und mit optimalen Behandlungsmethoden an. Unser elektrophysiologisches Labor ist mit einem dreidimensionalen Mappingsystem ausgestattet, das eine präzise Steuerung der Katheter in Ihrem Herzen erlaubt und die Röntgenstrahlung auf ein Minimum reduziert.
Sie bestmöglich zu beraten, ist uns wichtig! 
Daher bieten wir eine prästationäre Sprechstunde in unserer Rhythmus-Ambulanz an. Wenn Sie Fragen haben oder einen Termin mit uns vereinbaren möchten, stehen wir Ihnen über unser Sekretariat gern zur Verfügung.
Eine professionelle und umfangreiche Abklärung der
Herzrhythmusstörungen wird in unserer Rhythmussprechstunde angeboten. Nach
einer ausführlichen Anamnese, Sichtung der Vorbefunde und ggf. Durchführung
zusätzlicher Untersuchungen (Echokardiographie, LZ-EKG, 7-Tage LZ-EKG) wird ein
individuelles Therapiekonzept aufgestellt. Prästationär ist dazu ein Einweisungsschein Ihres Hausarztes, für eine
ambulante Vorstellung ein Überweisungsschein Ihres Kardiologen erforderlich. 
Sie finden uns im 1. Obergeschoss des Hauptgebäudes (siehe Plan).


Unter Katheterablation ist eine Behandlung von Herzrhythmusstörungen zu verstehen, die mittels Katheter durchgeführt wird, welche in der Regel über die Venen zum Herz vorgebracht werden. Wir bieten diese Ablation (Verödung) als Therapieverfahren für eine zahlreiche Herzrhythmusstörungen (Vorhofflimmern, Vorhofflattern, AV-Knoten-Reentrytachykardien, AV-Reentry-Tachykardien, ventrikuläre Herzrhythmusstörungen) an. Die Kathetherablation wird durch „Hitze“ (Radiofrequenzablation) durchgeführt. Unser Herzkatheterlabor arbeitet mit einem der modernsten Mappingsysteme (CARTO, Firma Biosense Webster).
Die meisten Untersuchungen werden im Schlaf, aber ohne Vollnarkose 
durchgeführt, die Katheter werden durch die rechte und ggf. auch linke 
Leiste eingeführt. Eine Untersuchung dauert ca. 1-3 Stunden, nach der 
Behandlung ist meist ein stationärer Aufenthalt von 1-2 Tagen 
erforderlich.
Für ausgewählte Patienten und Herzrhythmusstörungen kann eine Katheterablation eine Heilung bedeuten und damit die Einnahme von Medikamenten vermieden werden.
Bei Patienten mit Vorhofflimmern ist in einigen Fällen eine Behandlung mittels elektrischer Kardioversion nötig. Nach entsprechender Aufklärung wird die Behandlung in einer Kurznarkose durchgeführt. In den meisten Fällen erfolgt zuvor eine Ultraschalluntersuchung des Herzens über die Speiseröhre, um Blutgerinnsel im Herzen auszuschließen. Bei der Elektrokardioversion wird anschließend ein kurzer Stromstoß abgegeben, der den normalen Herzrhythmus wieder herstellt. Damit dieser aufrecht erhalten wird, ist oftmals eine medikamentöse Behandlung erforderlich.
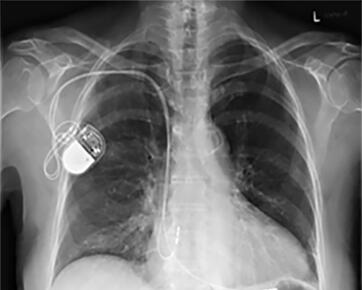
Herzschrittmacher sind zur Behandlung von langsamen Herzrhythmusstörungen geeignet, der implantierbare Defibrillator zur Verhinderung des plötzlichen Herztodes und sogenannte CRT Systeme („Kardiale Resynchronisationstherapie“) zur Behandlung einer Herzschwäche bei ausgewählten Patienten. Die Auswahl richtet sich nach nationalen und internationalen Leitlinien. Bei einigen Patienten kann die ICD Implantation ohne Sonden im Herzen als „subcutaner“ ICD durchgeführt werden.


Die Operationen werden in einem
leichten Schlaf ohne Vollnarkose durchgeführt, am nächsten Tag erfolgt die technische
Kontrolle und ggf. ein Röntgenbild des Brustkorbes. Alle Patienten erhalten
einen Ausweis und einen Termin zur ersten Kontrolle, die nach ca. 6-8 Wochen in
unserer Herzschrittmacher Ambulanz durchgeführt wird. Weitere Kontrollen sind
ca. halbjährlich erforderlich und werden von niedergelassenen Kardiologen durchgeführt. 
In unklaren Fällen und möglicherweise nur vorübergehend bestehendem Risiko ist gelegentlich noch eine Wartezeit mit Anpassung der medikamentösen Therapie notwendig. In diesen Fällen bieten wir eine vorübergehende Versorgung mit einem tragbaren Defibrillator (Life Vest, Firma Zoll) an.
Plötzliche Ohnmachtsanfälle (Synkopen) sind häufige ärztliche Vorstellungsgründe. Die Abklärung ist häufig schwierig, ein wichtiger Schlüssel dazu ist zunächst ein ausführliches Gespräch. Die Ursachen sind vielfältig, gelegentlich völlig harmlos, in Einzelfällen aber auch gefährlich.
Im Rahmen der Synkopenabklärung bieten wir Ihnen die folgende Leistungen an: